Case Studies
Below is just a few of the many procedures that we have done, carefully and with compassion for the patients.
Direct Bonding
| Before | After |
![]() | ![]() |
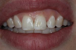
All Porcelain Crown
| Before | After |
|
|
Bonded Conservative Tooth Replacement
| Before | After |
|
|
Tooth Wearing
| Before | After |
|
|
Implants
| Before | After |
|
|
Veneers
| Before | After |
![]() | ![]() |

